Digital X-Rays At Magis Dental In Joliet IL

Digital Dental X-Rays

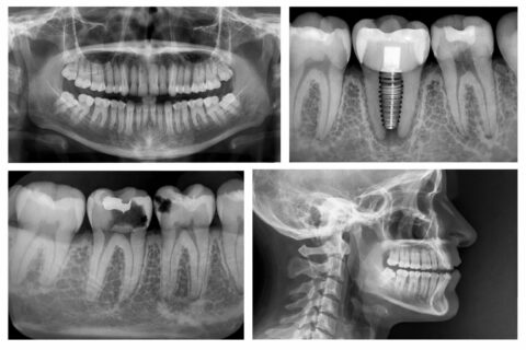
Digital dental x-rays in Joliet help detect cavities, infections, and bone loss early using low-radiation technology. Fast, safe imaging at Magis Dental.

Digital Dental X-Rays

Digital dental radiography is a modern imaging technology used to capture highly detailed images of your teeth, gums, and jaw. Instead of traditional film, digital x-rays use a small electronic sensor that immediately sends images to a computer. This allows your dentist and hygienist to view, enlarge, and analyze the images in real time, making it easier to identify concerns quickly and accurately.

Compared to conventional film x-rays, digital systems significantly reduce radiation exposure — often by up to 80–90% — while still providing exceptional diagnostic detail.

Why Dental X-Rays Are Important?

Dental x-rays are a critical part of preventive and diagnostic care because they reveal areas that cannot be seen during a visual exam alone. These images help your dental team detect issues early and develop a precise treatment plan. Without x-rays, many dental problems could progress unnoticed.
Dental x-rays can help identify:

  • Infections such as abscesses or cysts
  • Bone loss related to gum disease
  • Benign or malignant growths
  • Cavities between teeth
  • Developmental concerns
  • Misaligned teeth or root positioning issues
  • Problems within the tooth or beneath the gum tissue

Finding problems early often leads to simpler treatment, reduced costs, less discomfort, and better long-term outcomes.

Are Digital Dental X-Rays Safe?

Everyone is exposed to small amounts of natural radiation in daily life. Digital dental x-rays produce very low radiation levels — significantly lower than traditional film — making them a safe and routine part of dental care.

Digital imaging also offers additional benefits. Because images are captured electronically, the process is faster, more comfortable, and eliminates the need for chemical film processing, which reduces environmental waste.

Your dental team still follows strict safety protocols. X-rays are only taken when clinically necessary, and protective measures such as lead aprons and thyroid collars are used to minimize exposure.

How Often Are Dental X-Rays Needed?

The frequency of dental x-rays varies based on your individual oral health, age, medical history, and risk for dental disease. Your dentist will recommend imaging based on clinical findings and symptoms.

New patients are often advised to have a full-mouth series to establish a baseline. These images typically remain useful for three to five years. Bitewing x-rays — which show the upper and lower teeth together — are commonly taken during routine dental checkups once or twice per year to monitor for new concerns.

Why Choose Digital Dental X-Rays?

    Even with thorough exams and cleanings, some dental concerns develop beneath the surface where they cannot be seen visually. Digital dental x-rays allow our team to identify hidden issues early and monitor changes over time. At Magis Dental, we use advanced low-radiation imaging to support accurate diagnosis, careful treatment planning, and long-term oral health for emergency dental patients in Joliet and Plainfield.

    Benefits include:

    • Early Detection of Hidden Problems – identify decay, infections, and bone changes before symptoms appear

    • Precise Treatment Planning – provide detailed images that guide restorative, implant, and gum treatments

    • Low Radiation Digital Technology – significantly reduces exposure compared to traditional film x-rays

    • Monitoring Changes Over Time – track healing, tooth development, and ongoing oral health

    • Faster, More Comfortable Visits – instant images reduce appointment time and improve patient experience

    At Magis Dental, dental imaging is customized to your individual needs, risk factors, and stage of care. Routine x-rays help prevent small concerns from becoming larger problems and support confident long-term treatment decisions.

Comfortable, Modern Dental Imaging

If it has been a while since your last x-rays, you are not alone — and our team makes the process quick and comfortable. Digital sensors are smaller, images appear instantly, and protective measures are always used to keep exposure minimal.

Patients in Joliet and Plainfield rely on dental x-rays at Magis Dental to detect concerns early and maintain long-term oral health. During your visit, our imaging may focus on:

1.Clear Diagnostic Insightreveal cavities between teeth, bone loss, and hidden infections.
2.Safer Preventive Monitoringlow-dose technology supports routine preventive care.
3.Guided Treatment Planningessential for crowns, root canals, implants, and orthodontics.
4.Faster Clinical Decisionsimmediate images allow same-visit diagnosis and discussion.

1. Preparation and Protection – A lead apron and protective shielding are placed to minimize exposure while ensuring your comfort.
2. Digital Sensor Placement  – A small sensor is gently positioned inside the mouth to capture targeted images of specific teeth and surrounding structures.
3. Quick Image Capture – Images are taken in seconds and appear instantly on a monitor for immediate review.
4. Evaluation and Discussion – Your dentist reviews the images with you, explaining any findings and recommended next steps.
5. Personalized Recommendations – Imaging frequency and follow-up care are tailored to your oral health, risk factors, and treatment goals.

Explore more preventive dentistry resources:

Fluoride Treatments
Dental Sealants
Digital Dental X-Rays
Dental Exams and Cleanings

Dental cleanings and exams in Joliet and Plainfield at Magis Dental for the whole family.

Dental X-Ray FAQs

How safe are dental x-rays?

MosDigital dental x-rays use very low radiation levels and are considered safe for routine care. Protective measures such as lead aprons and modern digital sensors help minimize exposure while still providing detailed images.

How often do I need dental x-rays?

DurThe frequency depends on your oral health, age, and risk for dental disease. Many patients need bitewing x-rays once or twice per year, while full series may be recommended every three to five years.

Do dental x-rays hurt?

Routine cleanings are typically comfortable and gentle. If you have No. Digital sensors are small and designed for comfort. The process is quick and most patients experience little to no discomfort.

Why are dental x-rays necessary if my teeth feel fine?

Many dental problems develop without symptoms. X-rays allow your dentist to detect cavities, infections, bone loss, and other concerns before they become more serious.

Can dental x-rays detect problems under the gums?

Yes. X-rays help identify bone loss, impacted teeth, infections, cysts, and other issues that cannot be seen during a visual exam.

Are dental x-rays safe during pregnancy?

Dental x-rays are generally avoided during pregnancy unless necessary. If imaging is required, additional protective precautions are used. Always inform your dental team if you are pregnant.

Patient Reviews For Magis Dental DIgital X-Rays